В большинстве случаев оптимальное лечение переломов шейки бедра — оперативное. У молодых пациентов выполняют остеосинтез тремя винтами, а у пожилых – эндопротезирование тазобедренного сустава.
Распространено опасное заблуждение: «пожилой человек с переломом шейки бедра не перенесет операцию»… К сожалению, пожилые пациенты гораздо чаще не выносят длительного и мучительного консервативного лечения (деротационные сапожки, гипс), и все это заканчивается трагедией — смертью близкого и любимого человека.
Если пожилой человек до перелома шейки бедра мог ходить, то лечить его нужно только оперативно — выполнять эндопротезирование сустава.
У молодых людей даже при отсутствии смещения отломков может быть целесообразна операция (фиксация перелома тремя винтами). В противном случае нефиксированный перелом может несростись или произойдет «рассасывание» головки бедренной кости (остеонекроз). Даже минимальное смещение костных фрагментов при переломе шейки бедра может значительно ухудшить функцию тазобедренного сустава.
Анатомия и кровоснабжение
Тазобедренный сустав является одним из самых крупных суставов нашего тела. Из-за того, что человек в результате эволюции встал на две ноги, тазобедренный сустав у него является основным опорным суставом и несет значительную нагрузку при ходьбе, беге, переносе тяжестей. Форму тазобедренного сустава можно представить в виде шара, расположенного в глубоком гнезде округлой формы.

Строение тазобедренного сустава
Кость может жить только тогда, когда к ней поступает кровь. Кровоснабжение головки бедренной кости осуществляется тремя основными путями:
— сосуды, идущие к кости через капсулу сустава;
— сосуды, идущие внутри самой кости;
— сосуд, проходящий внутри связки головки бедренной кости. Этот сосуд хорошо работает у молодых пациентов, но в зрелом возрасте этот кровеносный сосуд обычно истончается и закрывается.

Кровоснабжение головки и шейки бедренной кости
При переломе шейки бедренной кости повреждается не только кость, но и разрываются сосуды, и костный фрагмент (головка и часть шейки бедренной кости), лишенный кровоснабжения, может лизироваться (рассосаться), постепенно исчезнуть. Такое состояние называют остеонекрозом или аваскулярным некрозом головки бедренной кости. Кроме того, лишенный кровоснабжения костный фрагмент головки и шейки бедренной кости может не прирасти, т.е. возникнет такое состояние как несращение перелома или, так называемый, ложный сустав. Особенно высок риск несрастания после перелома шейки бедра у пожилых людей, у которых сосуд, проходящий внутри связки головки, не функционирует.
У пожилых людей при переломе шейки бедренной кости («шейки бедра») костный фрагмент оказывается лишенным кровоснабжения и перелом может не срастись вообще.
Симптомы
Перелом шейки бедра можно заподозрить по типичному механизму травмы, характерным клиническим признакам и подтвердить с помощью рентгеновских снимков.
Пожилые пациенты с переломом шейки бедра, как правило, отмечают падение на область тазобедренного сустава. У молодых пациентов переломы шейки бедра происходят в результате падения с высоты или при автомобильных авариях.
В состоянии покоя при переломах шейки бедра боль носит незначительный характер. Боль в области тазобедренного сустава усиливается при попытке движений ногой. При переломах шейки бедра гематом в области тазобедренного сустава обычно не бывает, а поколачивание по пятке вызывает боль в тазобедренном суставе, в паху.
При переломе шейки бедренной кости («шейки бедра») нога может быть укорочена за счет смещения отломков кости. Кроме того, наружный край стопы может лежать на поверхности постели (наружная ротация) – тоже за счет смещения отломков. При этом больной не может самостоятельно вывести ногу из этого положения.

Наружная ротация конечности при переломе шейки бедренной кости
Кроме того, при переломе шейки бедра в подавляющем большинстве случаев пациент не может самостоятельно оторвать пятку от поверхности кровати. Этот признак получил свое название — «симптом прилипшей пятки».

Симптом прилипшей пятки
Иногда больные с переломом шейки бедра при попытке повернуться сами отмечают хруст в области перелома. Поколачивание области большого вертела при переломе шейки бедренной кости («шейки бедра») обычно вызывает боль в тазобедренном суставе.
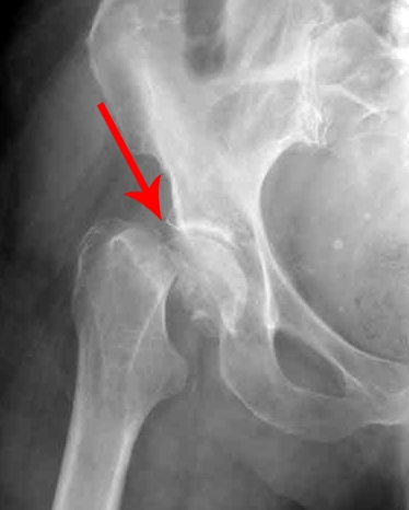
Точный диагноз перелома шейки бедренной кости («шейки бедра») можно поставить по данным рентгенограмм. В некоторых случаях для уточнения характера смещения фрагментов может понадобиться компьютерная томография.

Рентгенограмма перелома шейки бедренной кости
Тактика лечения пациентов с переломами шейки бедренной кости зависит от возраста пациента, характера перелома, наличия сопутствующей соматической патологии. При подозрении на наличие перелома шейки бедренной кости необходимо проконсультироваться с ортопедом-травматологом.